症例

- ホワイトニング
- 歯を白くしたい
- 歯茎の再生治療
- 下がった歯茎を元通りにしたい
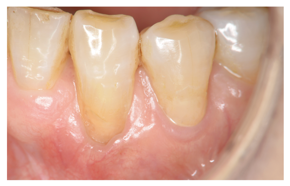
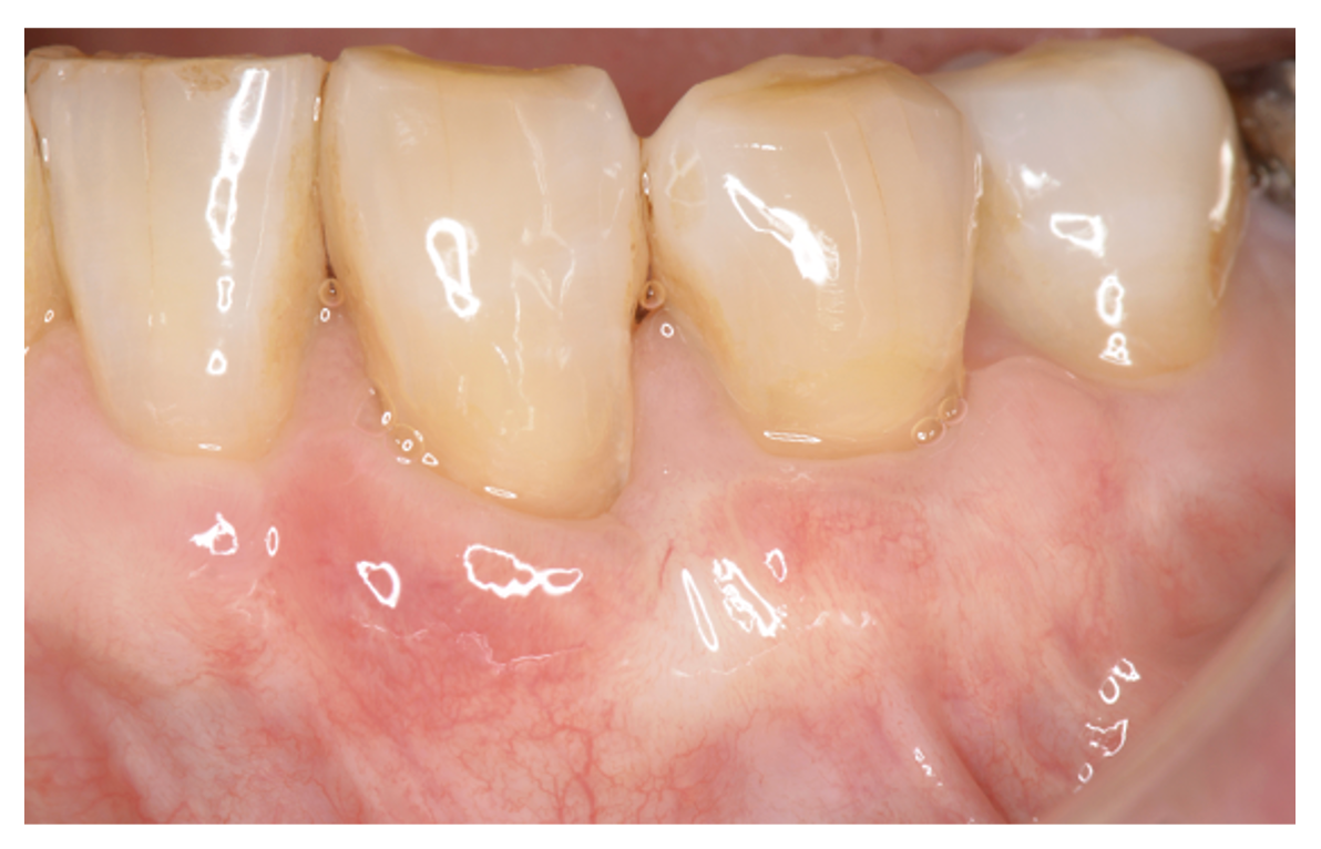
症例 06
下がった歯茎を元通りにしたい
術前

術後5年

| 主訴 | 歯茎が下がってきている。 歯磨きもしにくいし、見た目も気になる。 このまま下がって歯が抜けないか心配。 |
|---|---|
| 治療内容 | ブラッシング指導、歯石の除去 歯周形成手術(結合組織移植術) →歯茎の再生手術 |
| 治療期間 | 2ヶ月 術後3ヶ月経過してメインテナンスに移行 |
| 費用 | 77,000 *対象歯の本数により異なります。 |
| リスク・副作用 | 手術部位が2箇所になります。移植片を採取する部位(上あごの歯肉)と移植する部位(歯肉退縮部位)。特に採取部位では疼痛や出血を伴います。また、退縮量が大きい場合や症例によっては2度に分けて手術を行う場合があります。 |
症例 05
歯周病で歯を支える歯が溶ける?
歯周外科時(歯石の確認)

歯周外科時(スケーリング・ルートプレーニング後)

| 主訴 | 歯科医院に定期的に通っているが、深い歯周ポケットが残存しているのでかかりつけ医より当院を紹介されて来院。定期的に歯茎が腫れるとのこと。 |
|---|---|
| 治療内容 | 歯周基本治療終了後に歯周組織再生療法を実施 ポケット8mmを超える部位では大きな骨欠損を認める。この原因は『歯石』、つまりは細菌の塊がその場所にいたことで歯を支える骨が溶けてしまったのです。 |
| 治療期間 | 9ヶ月 歯周基本治療(2ヶ月) 歯周外科治療、歯周組織再生療法(1ヶ月) 歯周組織再生療法後は6ヶ月経過を確認しメインテナンスへ |
| 費用 | 歯周組織再生療法(サイトカイン+骨補填剤の併用療法) 165,000(1部位につき) |
| リスク・副作用 | サイトカインと骨補填剤を併用した歯周組織再生療法では術後の腫れや痛みを生じる場合があります。 歯周組織(特に歯槽骨)の再生が認められた後も定期的なメインテナンスやご自身でもブラッシングが大切です。それを怠ると再発や悪化につながりますのでご注意ください。 *当院ではブラッシング指導を徹底し、ご自身できちんと口腔内環境を管理できるようご協力いただいております。ブラッシング状況が改善されない場合は歯周外科治療へ進まないこともありますのでご理解ください。 |
症例 04
プロフェッショナルケアとセルフケアで歯肉の改善を
初診時

ブラッシング指導・スケーリング後

| 主訴 | 歯茎から出血する 歯科を受診するのは5年ぶり |
|---|---|
| 治療内容 | ブラッシング指導 歯肉縁上スケーリング(歯石の除去) 歯面清掃 |
| 治療期間 | 1ヶ月 |
| 費用 | 保険治療 |
| リスク・副作用 | 歯肉が引き締まることによる歯肉退縮 歯肉退縮による審美不良(歯が長く見える)や知覚過敏症状の発生 |
症例 03
歯を白くしたい
初診時

オフィスホワイトニング終了時

| 主訴 | 歯を白くしたい |
|---|---|
| 治療内容 | オフィスホワイトニング2回 |
| 治療期間 | 2ヶ月 |
| 費用 | オフィスホワイトニング 44,000×2回 |
| リスク・副作用 | 使用薬剤の刺激による疼痛を伴う場合があります。 処置後に知覚過敏症状が出る可能性があります。 詰め物や被せ物との色のギャップが生じる可能性があります。 処置後にホワイトスポットが生じることがあります。 |
症例 02
他院で歯周病が進行しているため抜歯と言われたがなんとか残したい。
初診時

歯周基本治療後

歯周組織再生療法後6ヶ月

| 主訴 | 他院にて歯周病と診断され、抜歯するしかないと言われたが年齢的(初診時30代)に抜歯はしたくない。 歯周病の専門医に相談した方がいいと言われ当院を受診。 |
|---|---|
| 治療内容 | 精密検査の結果、歯周ポケット(歯と歯茎の間の溝)4mm以上の部位が全体の67%、最大11mmの歯周ポケットを認めた。*歯周ポケットの正常値は3mm以下。 またエックス線画像からは奥歯を中心に歯槽骨(歯を支える骨)の著しい吸収を認めた。 ブラッシング指導、歯肉縁上歯石の除去、歯肉縁下歯石の除去、根管治療を行った後、再評価検査を行った結果、全顎的に歯周外科治療が必要であったため歯周組織再生療法を行った。 |
| 治療期間 | 9ヶ月 歯周基本治療(2ヶ月) 歯周外科治療、歯周組織再生療法(2ヶ月) 歯周組織再生療法後は6ヶ月経過を確認しメインテナンスへ |
| 費用 | 歯周組織再生療法(サイトカイン+骨補填剤の併用療法) 165,000(1部位につき) |
| リスク・副作用 | サイトカインと骨補填剤を併用した歯周組織再生療法では術後の腫れや痛みを生じる場合があります。 歯周組織(特に歯槽骨)の再生が認められた後も定期的なメインテナンスやご自身でもブラッシングが大切です。それを怠ると再発や悪化につながりますのでご注意ください。 *当院ではブラッシング指導を徹底し、ご自身できちんと口腔内環境を管理できるようご協力いただいております。ブラッシング状況が改善されない場合は歯周外科治療へ進まないこともありますのでご理解ください。 |
症例 01
歯茎が腫れて痛い。歯ブラシの時にすごく出血する。
初診時

歯周基本治療後

| 主訴 | 歯茎が腫れて痛い。歯ブラシをする際に出血する。 また、家族から口臭を指摘されたのでしっかり治したい。 |
|---|---|
| 治療内容 | 精密検査を行った結果、歯周ポケット(歯と歯茎の間の溝)の深さが4 mm以上の部位が全体の72%以上で、最大10 mmであった。またエックス線画像からは歯槽骨(歯を支える骨)の著しい(歯の根の1/3~2/3程度)吸収を確認した。重度慢性歯周炎(ステージⅢ グレードC)と診断し、歯周治療を開始した。 歯周基本治療として徹底したブラッシング指導と歯肉縁上スケーリング並びに6ブロックに分けた歯肉縁下歯石の除去を行った。再評価検査の結果、病状安定と判断できる歯周組織の状態となったためため歯周外科治療は行なわずにメインテナンスへ移行した。 |
| 治療期間 | 2ヶ月半(週に1回) ブラッシング指導 歯肉縁上スケーリング スケーリング・ルートプレーニング |
| 費用 | 保険治療 |
| リスク・副作用 | 著しい歯槽骨の吸収を認めていたため、歯周治療により歯茎が引き締まった結果、歯肉退縮(歯茎がざること)が生じた。これにより、知覚過敏や根面う蝕(むし歯)のリスクが高まった。 ブラッシングが不十分になってしまうと再発の可能性があるため3ヶ月に1度のメインテナンスを行なっている。 *当院では歯周治療により生じる可能性のあるリスク等について治療前に説明しております。 |