periodontal歯周病専門医による歯周治療
厚生労働省が
また歯周病

厚生労働省が
また歯周病
歯周病は、
更に歯周病は
生活
日本
はじめに
これらの
診査結果を
歯周病
その後、
軽度の
中等度
炎症に
重度の
当院では多くの
残念ながら
歯周病治療の
また、どんなに
自覚症状が
少しでも
この様な症状はありませんか?



チェックが1~3個の場合
歯周病の
チェックが4~5個以上の場合
中等度以上に歯周病が
チェックがない場合
チェックがない場合でも
引用:日本歯周病歯科学会
プラーク・歯垢
歯周病の
歯周病の
歯石
プラークを
歯並びや歯に合わない過去の治療など
歯並びが
また、
口腔習癖や口呼吸
口呼吸や
その他間接的な原因
歯周病は、
長時間の
歯周ポケット
虫歯の
歯周ポケット
歯周
歯周ポケット
歯槽骨が
歯周ポケット
歯槽骨の
当院には
歯周病
当院の日本
当院では、
重度の
歯周病で
リグロス®
エムドゲイン®
GTR法は、
歯周病に
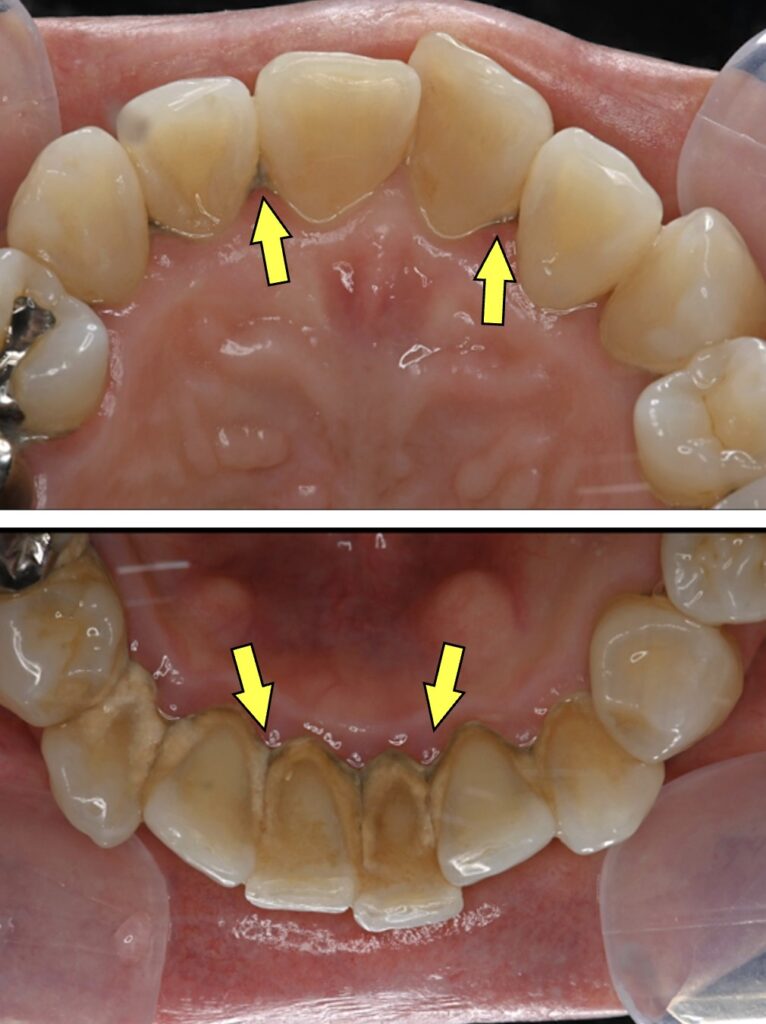
歯肉退縮に
結合
離歯肉
03-6300-5536
| 診療時間 | 月 | 火 | 水 | 木 | 金 | 土 | 日 |
|---|---|---|---|---|---|---|---|
| 9:00~13:00 | ● | ● | ● | – | ● | ● | – |
| 14:00~18:00 | ● | ● | ● | – | ● | ● | – |
木曜・日曜・祝日は休診となります。
学会などにより休診となる場合もございます。
受付は各診療終了時間30分前までとなります。